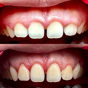
GUMMY SMILE CORRECTION
A gummy smile, or excessive gingival display, is when a significant amount of gum tissue is visible above the upper teeth when smiling. Although primarily cosmetic, it can affect confidence. Various treatment options exist, from non-invasive to surgical procedures. This guide covers the causes, diagnostics, and treatments for a gummy smile.
Causes of Gummy Smiles:
-
Excessive Gum Tissue: Overgrowth covers more of the teeth.
-
Short Teeth: Due to wear, genetics, or excessive gum coverage.
-
Hyperactive Upper Lip: Lip lifts too high when smiling.
-
Vertical Maxillary Excess (VME): Overgrowth of the upper jaw.
-
Altered Passive Eruption: Gums don’t recede properly after teeth eruption.
-
Malocclusion: Misalignment of teeth and jaws.
Diagnostic Approaches:
-
Clinical Examination: Assess gum line, teeth, and lip movement.
-
Dental X-rays: Evaluate bone structure and tooth positioning.
-
Cephalometric Analysis: Analyze relationships between teeth, jaws, and facial structures.
-
Photographic Analysis: Assess gingival display from different angles.
-
Digital Smile Design: Simulate treatment outcomes with software.
Treatment Options
Non-Invasive:
-
Botox Injections: For hyperactive upper lip; relaxes muscles to reduce gum display (3-6 months duration).
-
Orthodontic Treatment: Braces or clear aligners to correct misalignment (1-2 years).
Minimally Invasive:
-
Laser Gum Contouring: Removes excess gum tissue with a dental laser.
-
Crown Lengthening: Removes gum and sometimes bone to expose more tooth structure.
Surgical:
-
Orthognathic Surgery: For vertical maxillary excess; repositions the upper jaw.
-
Lip Repositioning Surgery: Repositions the upper lip to cover more gums when smiling.
Recovery and Post-Operative Care:
-
Rest: Avoid strenuous activities initially.
-
Cold Compresses: Reduce swelling and discomfort.
-
Pain Management: Use prescribed or over-the-counter pain relievers.
-
Gentle Brushing: Use a soft-bristle toothbrush.
-
Mouth Rinses: Use prescribed rinses or saltwater solutions.
-
Dietary Adjustments: Soft foods and proper hydration.
-
Follow-Up Appointments: Monitor healing and address concerns.
Psychological and Aesthetic Considerations:
-
Patient Expectations: Clear communication for realistic outcomes.
-
Aesthetic Goals: Personalized plans for desired smile appearance.
-
Emotional Support: Alleviate anxiety and stress related to the procedure.

